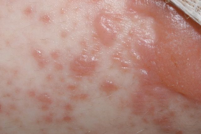
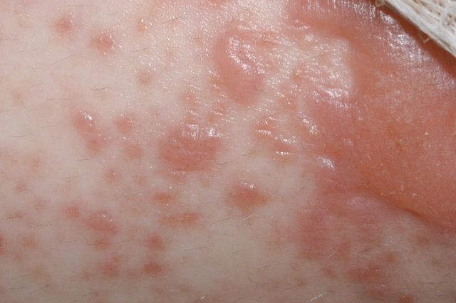
Stevens Johnson Syndrome-early

Stevens Johnson Syndrome-early

Early Stevens Johnson Syndrome

Back to Search

ISSVD_Logo_Trademark_Ver1_2019_11_19-(1).png

The International Society for the
Study of Vulvovaginal Disease (ISSVD)

Contact Us

+1-704-709-3511
issvd@issvd.org
PO Box 586
Waxhaw, NC 28173

Get free ISSVD updates

Delivered straight to your inbox.

Click Here

Copyright © 2017 - All Rights Reserved.
Charlotte Web Design by Synchronicity
Reproduction and distribution of contents including images and artwork, in whole or in part, without prior written agreement is prohibited.