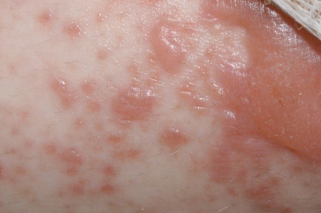
Eleonora Preti, MD
ITALY
Welcome to the ISSVD Resource library: Here you will be able to search for images, terminology, patient handouts, etc.
Leave all of the filters to ALL or try searching by name of a condition. Or use drop downs to select filters. Or change the category to search for all videos, etc.
You may download images for educational purposes. The downloaded image does not include the description. The description is only seen after you click on the image.
We cannot offer referral services, but we have created this open access resource to add/find providers and clinics who may be able to help you.
Looking for a Mentor? Reach out to one of these providers to discuss a possible observation or rotation.
Need Pathology Images? Here is a great open access resource courtesy of PathologyOutlines.com
Become a member today to have access to many more resources.
Disclaimer: We are not responsible for the accuracy, reliability, or quality of any materials found outside of our official website that have been translated. All officially translated materials and authorized content are available exclusively on our website. We encourage users to refer directly to our website for verified translations and the most up-to-date information.
All original documents are in English. Every effort has been made to ensure the accuracy of the translation; however, due to the complexity and specificity of medical terminology, we cannot guarantee that translated versions of medical resources are entirely free of errors or misinterpretations. These documents are provided for informational purposes only and should not be considered a substitute for professional medical advice. In case of any doubt, please refer to the original language version or consult a qualified healthcare professional.